Ecocardiografia: che cos’è e cosa si vede
Presso Poliambulatori San Gaetano è possibile eseguire l’Ecocardiogramma, anche in sede di visita Cardiologica.
L’ambulatorio di Cardiologia vanta un’equipe di medici di grande esperienza con all’attivo moltissimi esami di Ecocolordoppler cardiaco ed Ecocardiografia cardiaca, che possono contare su ecografi top di gamma di ultima generazione.
Che cos’è l’Ecocardiogramma?
L’Ecocolordoppler cardiaco a riposo, o Ecocardiografia, è un esame non invasivo effettuato da uno specialista in Cardiologia, molto utile nella valutazione delle possibili patologie o malformazioni a carico del cuore. Il medico si serve dell’ausilio di un Ecografo, con sonde apposite, che consente di osservare e capire la forma, la dimensione, il movimento e la conformazione cardiaca.
Se eseguita correttamente, con un buono strumento e da un operatore esperto, essa consente di studiare con grande precisione i flussi interni al cuore, di individuare con esattezza la presenza di una trombosi (blocco di un vaso sanguigno provocato da un ammasso di globuli rossi/piastrine chiamato trombo), di diagnosticare le malattie delle valvole del cuore e di scoprire eventuali difetti congeniti (che cioè sono presenti sin dalla nascita).
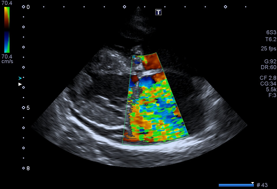
Che cosa si vede con l’Ecocardiocolordopplergrafia cardiaca a riposo?
Si tratta di un esame diagnostico basato sull’utilizzo di ultrasuoni, totalmente innocuo ed indolore per il paziente. Tramite l’ecografo il Cardiologo può visualizzare le camere cardiache, misurarne le dimensioni, valutare la funzionalità cardiaca e lo stato delle valvole.
Grazie alla funzione di ecocolordoppler cardiaco, si sfrutta l’effetto doppler per studiare la circolazione del sangue nel cuore.
Con questo studio è possibile identificare quasi tutte le patologie cardiache e monitorarne l’evoluzione nel tempo. In particolare con l’ecocardio a riposo è possibile valutare:
- patologie a carico delle valvole cardiache
- cardiopatie congenite
- dimensioni ed il movimento delle pareti del cuore
- esiti di un intervento chirurgico
Quanto dura l’Ecocardiogramma?
È un’indagine molto precisa ed indolore, della durata di circa venti minuti e grazie alle quali è stato limitato il ricorso alle altre tecniche invasive.
Cosa fare prima di un Ecocolordoppler cardiaco?
LEcocardiografia si esegue a riposo: il paziente deve evitare di compiere sforzi fisici nelle ore antecedenti all’esame. Sarebbe consigliato evitare, già nelle 24 ore precedenti, di fumare, l’assunzione di caffeina e di pasti abbondanti.
Presso Poliambulatori San Gaetano è possibile eseguire un’Ecocardiogramma a riposo privato senza attese e con referto immediato.
Poliambulatori San Gaetano è presente a Thiene e Schio (Vicenza).
La segreteria è a disposizione per ulteriori info, costi contattando il numero 0445372205 oppure compilando il form di contatto a lato della pagina.
Ricordiamo che è sempre attiva l’app ufficiale di Poliambulatori San Gaetano per la prenotazione rapida.



