Emoglobina Analisi del Sangue. In Cosa Consiste?
Gli esami clinici del sangue rappresentano una tecnica molto efficace di diagnosi nel paziente. Tramite il prelievo del sangue, infatti, è possibile analizzarne la composizione e valutare lo stato di salute del soggetto. L’emoglobina è una proteina che contiene ferro, costituente principale dei globuli rossi...
Dolore al tallone: cause e consigli utili
Il dolore plantare calcaneare, conosciuto anche come tallonite è una causa di disabilità abbastanza comune. Scopriamo alcuni consigli utili.
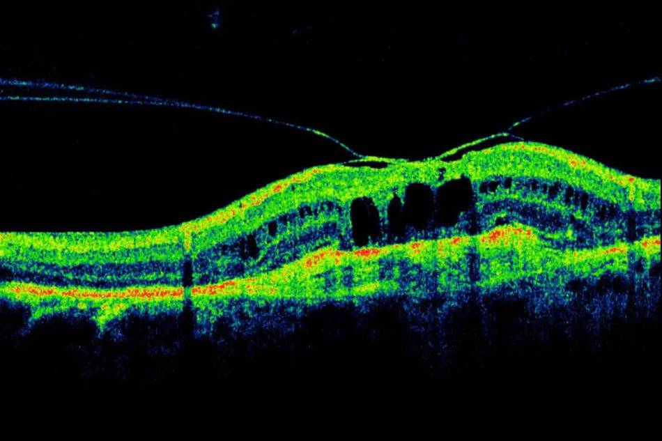
L’OCT per una visita oculistica più approfondita
Effettuare periodicamente una visita oculistica completa è importante per assicurarsi di essere in buone condizioni di salute.
Dolore al ginocchio? Fai la risonanza magnetica
Il dolore al ginocchio può dipendere da diversi fattori e se il dolore persiste per diverse settimane è consigliabile effettuare una risonanza magnetica.
Curva Glicemica in Gravidanza. Quando fare le analisi del sangue?
La curva glicemica è un esame che in gravidanza permette di conoscere se c’è rischio di diabete gestazionale.
Dolori e articolazioni intorpidite? Potrebbe essere artrite reumatoide
L’artrite reumatoide è una malattia reumatica infiammatoria cronica che porta all’erosione delle articolazioni. In Italia questa patologia ha un’incidenza dello 0,4% e le più colpite sono le donne.
La distorsione di caviglia – Consigli per il paziente
Distorsioni di caviglia: la combinazione di terapia manuale ed esercizio terapeutico porta ad un miglior recupero. I risultati di un importante studio.
Osteoporosi sintomi: come riconoscerla
L’osteoporosi è una malattia sistemica dello scheletro, caratterizzata da una ridotta massa ossea e dal deterioramento della microarchitettura del tessuto osseo.
Persistente dolore alla spalla? I vantaggi di eseguire la risonanza magnetica
La Risonanza Magnetica è considerata un esame diagnostico completo per individuare lesioni a carico di tendini, muscoli e strutture fibrocartilaginee.
Acne e la terapia biofotonica
L’acne è considerata una delle malattie della pelle più diffusa.










