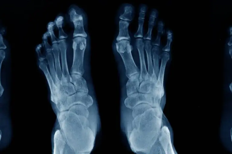
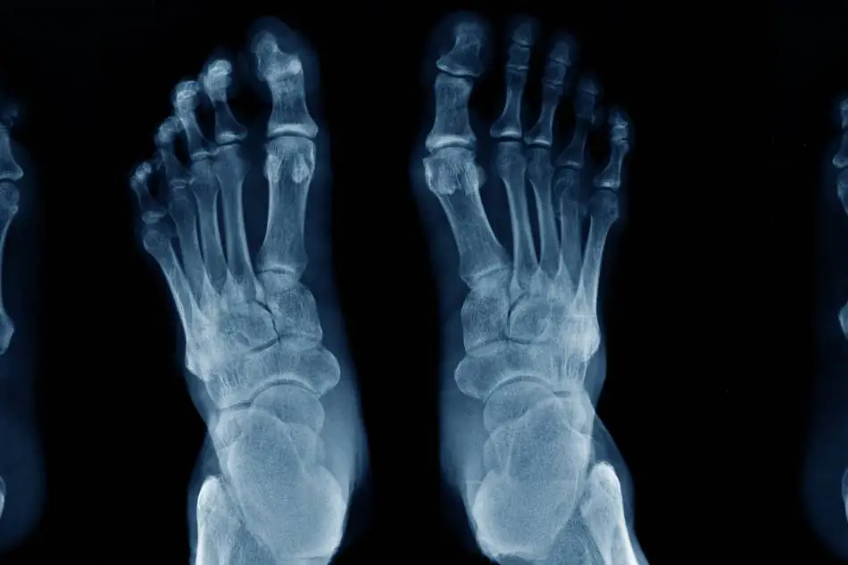
Radiografia del Piede destro e/o sinistro (per alluce valgo o piede piatto)
La radiografia del piede è un esame radiologico eseguito mediante l’utilizzo di Raggi X, che riescono ad attraversare il corpo e restituire un’immagine digitale (o su pellicola) che è in grado di evidenziare in modo differente le ossa dello scheletro rispetto ai tessuti molli circostanti.
Quali sono le proiezioni Rx del piede?
L’esame viene eseguito attraverso tecnologia digitale. Il risultato è rappresentato da immagini radiografiche di qualità diagnostica nettamente superiore rispetto a quelle prodotte con la vecchia tecnologia analogica ed una più snella ed efficiente metodologia di archiviazione. Si possono eseguire:
- Proiezioni standard: dorso plantare, obliqua, laterale
- Proiezioni standard sotto carico
- Proiezioni aggiuntive: indicate dal Medico in base alla necessità del paziente
È un esame utile per lo studio dell’alluce valgo?
L’esame Rx Piedi potrebbe essere prescritto anche per la valutazione dell’alluce valgo.
E per il piede piatto?
Attraverso le radiografie del piede sotto carico è possibile valutare la presenza di patologie come:
- piede piatto
- valutazione volta plantare
- sperone calcaneare, ecc
Qual è il costo della radiografia al piede privata?
Il costo dell’rx del piede è a partire da € 35,00. Per conoscere il prezzo esatto dell’esame richiesto, è possibile contattare la segreteria.
Rx piedi standard e sotto carico, c’è una preparazione specifica?
Per eseguire la radiografia del piede non ci sono particolari norme di preparazione. Durante l’esecuzione il paziente non deve indossare oggetti metallici che potrebbero interferire con l’azione dei raggi x.
Presso Poliambulatori San Gaetano Thiene (Vicenza) è attivo l’ambulatorio di Radiologia, con prenotazione ed accesso senza tempi di attesa.


