Monitoraggio ovarico ovulazione
Presso il Poliambulatorio San Gaetano di Thiene e Schio (Vicenza, Veneto) è possibile effettuare l’ecografia per il monitoraggio ovarico.
Che cos’è e cosa prevede questo esame ecografico?
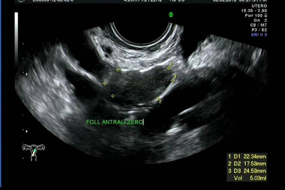
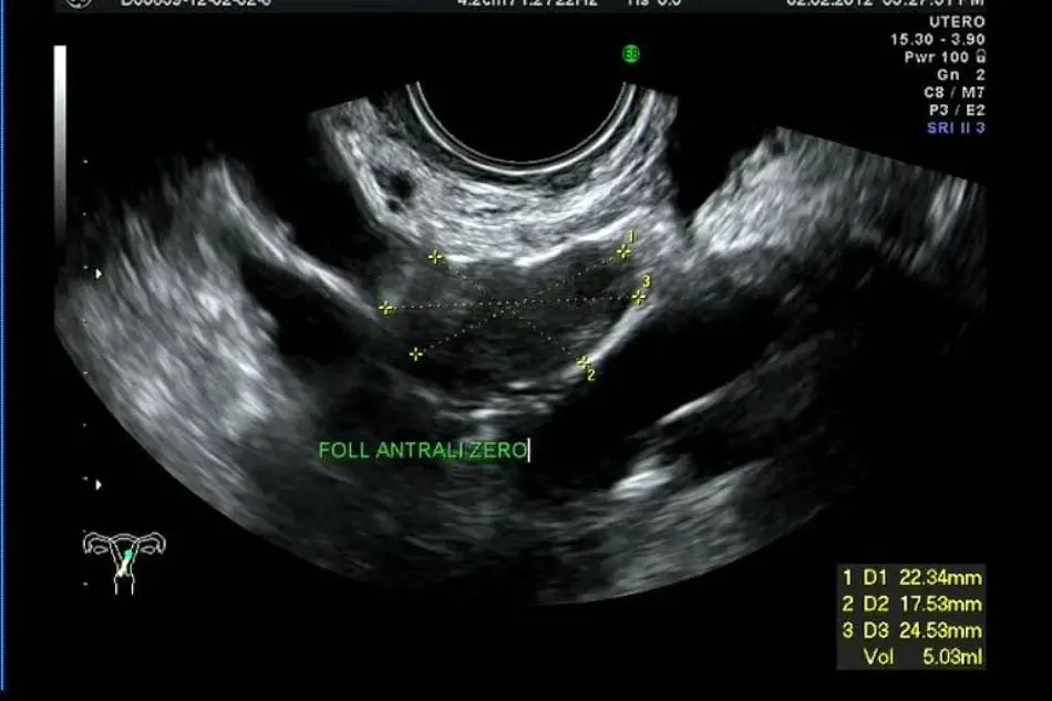
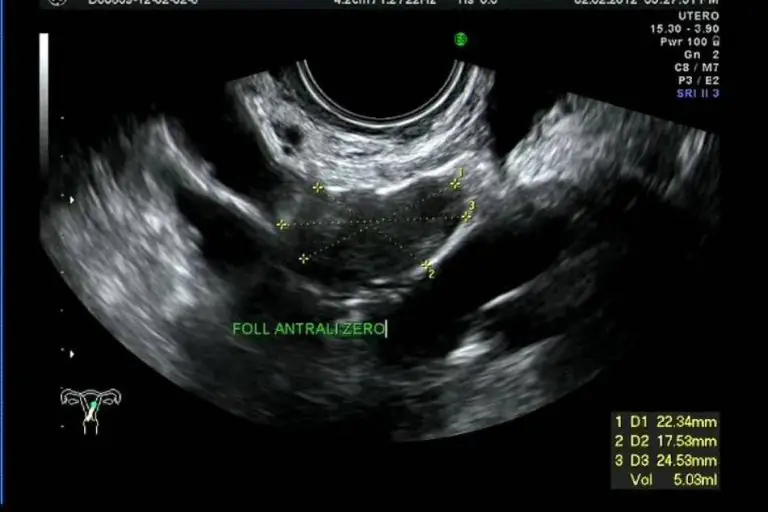
L’ecografia per il monitoraggio ovarico è una metodica ecografica per lo studio dell’ovulazione che permette una valutazione accurata della crescita follicolare sia in presenza di ciclo spontaneo sia nel caso di ciclo indotto farmacologicamente. Questa procedura prevede il monitoraggio ecografico dell’ovulazione effettuato attraverso una serie di ecografie trans-vaginali programmate secondo una certa periodicità per seguire lo sviluppo del follicolo o la stimolazione farmacologica delle ovaie.
A cosa serve l’ecografia per il monitoraggio ovarico?
L’esame ecografico è serve a valutare nello specifico le dimensioni dei follicoli ovarici, la loro crescita nel tempo e a descrivere l’aspetto e lo spessore dell’endometrio (lo strato più interno della parete dell’utero).
L’ecografia per il monitoraggio ovarico e il monitoraggio follicolare sono particolarmente utili nelle pazienti in cura per infertilità di coppia, che presentano cicli ovarici irregolari o sottoposte a stimolazione farmacologica della crescita follicolare.
Da un punto di vista terapeutico, questa metodica può aumentare le probabilità di un concepimento perché permette di informare la coppia sul momento migliore in cui avere rapporti mirati alla procreazione, ovvero in corrispondenza dell’ovulazione. Mentre da un punto di vista diagnostico consente di verificare se l’ovulazione avviene o meno e, nei casi di fecondazione assistita, individuare il momento migliore in cui eseguire il prelievo di ovuli.
L’ecografia per il monitoraggio ovarico è dunque impiegata nelle tecniche per la procreazione medicalmente assistita (PMA).
Presso il nostro centro è a disposizione l’ambulatorio di Infertilità e Concepimento per prenotare una visita con un esperto.
Poliambulatori San Gaetano è presente a Thiene e Schio (Vicenza).
La segreteria è a disposizione per ulteriori info, costi contattando il numero 0445372205 oppure compilando il form di contatto a lato della pagina.
Ricordiamo che è sempre attiva l’app ufficiale di Poliambulatori San Gaetano per la prenotazione rapida.



