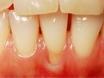
La parodontologia si occupa di prevenire e curare le patologie che colpiscono il parodonto come ad esempio gengiviti e parodontiti. Queste patologie molto diffuse, che colpiscono i tessuti di sostegno del dente, fra i quali anche l’osso, portano a lungo andare alla perdita dei denti.
La prima fase della malattia, denominata gengivite, avviene a livello della gengiva per poi progredire fino ad interessare l’apparato che sostiene il dente convertendosi quindi in parodontite. La velocità di progressione della lesione può dipendere da vari fattori anatomici e genetici predisponenti, da una condizione generale di salute precaria, da stress o da fumo, oltre che ovviamente da una scarsa igiene.
È fondamentale quindi avere una buona igiene orale eliminando la placca ed il tartaro accumulatosi, così da ritornare ad una condizione di salute gengivale accettabile. Se la lesione assume carattere più grave, si necessitano degli interventi di chirurgia mucogengivale, quando riguarda i tessuti molli come la gengiva, o di chirurgia resettiva (rimodellando l’osso alveolare) e rigenerativa (ricostruendo l’osso distrutto), quando la lesione concerne i tessuti duri.






