L’ortodonzia è uno specifico ramo dell’odontoiatria che studia le diverse anomalie della costituzione e posizione dei denti con lo scopo di prevenire, attenuare o correggere tali anomalie.
L’ortodonzia riguarda tutta l’età evolutiva dal bambino all’adulto. Già nei primi anni di vita è possibile individuare tempestivamente un’eventuale anomalia e provvedere quindi con un trattamento o apparecchio ortodontico. Negli adulti si ricorre al trattamento ortodontico e agli apparecchi sia per migliorare la posizione dei denti da un punto di vista estetico, sia per migliorare la funzionalità dell’apparato masticatorio.
Il riallineamento dei denti e l’occlusione dentale corretta si ottiene mediante una terapia personalizzata:
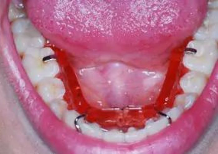
- con APPARECCHI MOBILI (Planas, Simoes, per recupero RNO)
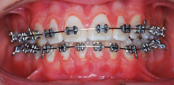
- con FISSA (metallica o ceramica: “mystique o ice”)
- con TERAPIA DIRETTA (piste dirette e indirette)
- con TECNICA LINGUALE (per piccole imperfezioni o recidive dopo eruzione ottavi utilizziamo la tecnica linguale chiamata mak con fili in nichel titanio o intrecciati)
- con INVISALIGN (in situazioni ottimali senza malattie ossee e paradontali utilizziamo la tecnica di mascherine “invisibili” che consentono il riallineamento e piccoli spostamenti).






